Tips for Achieving a Seamless Restoration for a Single Central Incisor
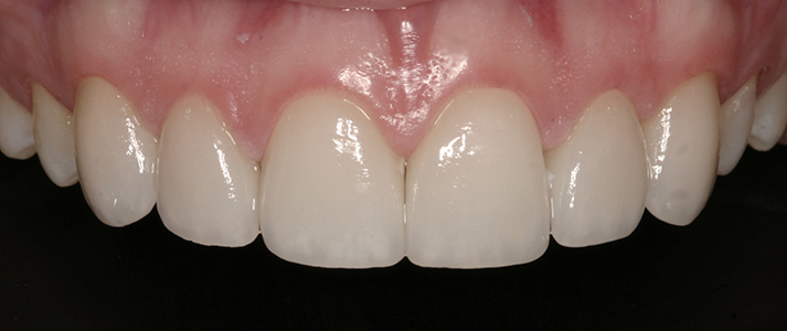
As a cosmetic dental lab that prides itself on matching restorations seamlessly to a patient’s natural teeth, one of the most challenging and yet rewarding procedures is what we call a single central. This is an extremely difficult challenge for lab technicians because of the visual prominence of the tooth and its location.Several factors need to be considered when restoring a central incisor. We have to determine the proper dentin and enamel translucencies, opacities & thickness and they all need to be matched to the natural adjacent tooth to achieve an ideal match. According to Don Cornell, over 70 % of single centrals have adjustments made or need to be redone before a satisfactory match is accomplished. We would like to offer some suggestions to help us in doing single centrals.First we need to educate the patient about the difficulty involved in doing single centrals. As their dentist, you should explain that there will probably be more than two visits involved and if the dental lab is local, the process may include patient trips to the lab’s facilities.If possible, send the patient to the lab so that a custom shade can be taken, along with digital photos. It is important that the patient wait at least 24 hours after their prep appointment due to the dehydration of their teeth, or they can come in prior to their prep appointment, the only exception is if there is matching to an existing crown.
Tips on Shading a Single Central
Often times we rely on digital imagery to identify the shading needs, so when using photos to communicate the shade here are some tips to help out:
*We recommend taking photos before the patient is numb so their teeth are not dehydrated
*Provide clear photos of the tooth you want us to match along with the shade tabs that match closest to the adjacent tooth.
*When taking the photos of the shade tabs in place, try to keep the shade tab on the same two-dimensional plane as the tooth you are trying to match so that it is the same distance from the light source.
*Be sure that the shade tab number is always visible and clear in the photo
*We always need a stump shade for the tooth we are restoring if it is going to be an all-porcelain restoration, in case we need to mask any discolorations.

We recommend that you schedule a custom try-in appointment, you should inform the patient that this is a hand-crafted custom restoration and will probably need some fine tuning to have an undetectable match. There are many times the certified lab technicians get it right the first time, but if the crown is not right you can take pictures of the crown in the mouth or schedule enough time to allow them to go to the lab for the adjustments. We may be able to adjust the crown while they wait and then send it back for you to seat. If there is a need to make major adjustments or start over, it will be communicated with the patient and your office to reschedule.
The additional clinical and technical time, as well as the expertise needed to accomplish this very difficult task, bring with it the necessary additional charges and your fees should reflect this as well. We want to provide you and your patients with the best service possible and following the suggested recommendations will help us achieve success with single central cases. Contact us today if you have any further questions on single central’s or any other dental restoration.



