In today’s world, seeing really is believing. Builder’s have model homes, artists have galleries, car dealers have showrooms and dental labs? Well, we have a selection of real-life case studies and examples to see, but the challenge is that we don’t have a “showroom” or “gallery” for the general population to come and view our own masterpieces. The world is our gallery. Everyday individuals, our canvas. These works of art do not have restricted exhibit hours or require a high price of admission to view them. However, he best view of course, is face to face with one of the lucky individuals who we have been able to help with cosmetic dentistry work. And if you don’t have the chance to meet one of these walking works of art in person. We have a full gallery of cases studies and work that we have done. Some of which we have spotlighted before.
For those that need just little bit more evidence before a commitment can be made to doing a smile makeover, we are prepared to shed just a little more light with some additional before and after images of cosmetic dentistry our dental lab has completed.
Empress Veneers



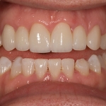
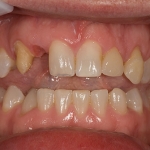
Another case completed by Dr. Ralph Downey of Pueblo, CO. This particular patient wanted to restore his teeth to a bright white sheen and we were able to accomplish this through the application of the Empress Veneers.
Metal Encapsulated


This patient of Dr. Edward Lazer in Baltimore, MD needed to replace his missing teeth in order to have the type of smile he had only dreamt of. We were able help him realize this dream with the use of an Authentic Metal Encapsulated Bridge.
Authentic Veneers




This beautiful smile hails from the Windy City and the office of Dr. Kevin Landers. She Simply wanted a bright new smile that would allow her to shine in a crowd. Missions accomplished!
Lava Bridge & Authentic Veneers




Another patients of Dr. Landers also needed Authentic Veneers, but in addition he needed to replace a missing tooth so we also did a Lava Bridge. Now he looks like a million bucks.
At Treasure Dental Lab we couldn’t be more proud of the work our partner dentists complete. As you can see, no two cases are ever the exact same. If you are considering getting any cosmetic dentistry work done, talk with your dentist about the specifics of your case and have them give us a call. WE are more than happy to leverage our experience and expertise on your behalf. Afterall, it’s your smile, you should be able to get the highest quality dental lab work around.



